
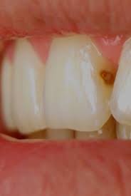
Карієс між зубами — одна з найпоширеніших і водночас найменш помітних форм ураження. Він розвивається у контактних ділянках, де накопичується наліт і залишки їжі, які складно видалити звичайною щіткою.
Основна причина — недостатня гігієна міжзубних проміжків. Навіть при регулярному чищенні зубів наліт у цих зонах може залишатися, створюючи сприятливе середовище для бактерій.
Найефективніший спосіб профілактики — щоденне використання зубної нитки або міжзубних йоршиків. Вони дозволяють очищати ті ділянки, куди щітка не дістає. Особливо важливо робити це ввечері перед сном.
Також корисним є використання іригатора, який струменем води вимиває залишки їжі та наліт. Він не замінює нитку, але добре доповнює щоденний догляд.
Важливу роль відіграє харчування. Часте вживання солодощів і перекусів створює постійне кислотне середовище, що сприяє розвитку карієсу. Краще обмежити такі продукти та дотримуватися регулярного режиму харчування.
Регулярні огляди у стоматолога допомагають виявити карієс на ранній стадії, коли він ще не викликає симптомів. У деяких випадках лікар може рекомендувати професійну гігієну або додаткові профілактичні засоби.
Отже, уникнути карієсу між зубами можливо за умови комплексного догляду: правильного чищення, використання додаткових засобів та регулярного контролю у стоматолога. Це допоможе зберегти здоров’я зубів навіть у важкодоступних ділянках.






