
Температура їжі та напоїв має прямий вплив на стан зубів і комфорт у ротовій порожнині. Занадто гаряче або холодне може не лише викликати неприємні відчуття, а й поступово шкодити емалі.
Далее

Температура їжі та напоїв має прямий вплив на стан зубів і комфорт у ротовій порожнині. Занадто гаряче або холодне може не лише викликати неприємні відчуття, а й поступово шкодити емалі.
Далее
Перекуси — звична частина сучасного ритму життя. Але для зубів важливе не лише те, що ми їмо, а й як часто це робимо.
Далее
Чутливість зубів — це сигнал, що емаль ослаблена або оголені шийки зубів. У такому випадку важливо не лише лікування, а й правильна щоденна гігієна.
Далее
Антисептичні ополіскувачі — популярний засіб для догляду за ротовою порожниною. Вони допомагають зменшити кількість бактерій, освіжають подих і можуть підтримувати здоров’я ясен. Але чи потрібні вони всім?
Далее
Капи (елайнери або захисні капи) потребують особливого догляду, адже вони постійно контактують із зубами. Неправильна гігієна може призвести до накопичення бактерій, неприємного запаху та ризику карієсу.
Далее
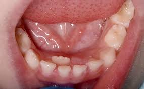
Ситуація, коли зуби розташовуються «у два ряди», виглядає незвично, але має цілком зрозумілі причини. Найчастіше це пов’язано з нестачею місця в щелепі.
Далее
Так, зуби дійсно можуть змінювати своє положення протягом життя. Це природний процес, який відбувається під впливом різних факторів — навіть у дорослому віці.
Далее
Зуби можуть багато розповісти про людину — зокрема, допомогти приблизно визначити її вік. Цей метод використовують у стоматології та судово-медичній практиці, коли немає інших даних.
Далее
Зуби мудрості (треті моляри) — це останні зуби, які зазвичай прорізуються у віці 17–25 років. У нормі їх чотири, але на практиці кількість може відрізнятися: у когось є всі, у когось — лише частина, а іноді вони взагалі не формуються.
Далее
Вініри — це швидкий спосіб отримати естетичну усмішку. Вони маскують недоліки кольору, форми та положення зубів. Проте у багатьох випадках перед їх встановленням лікар рекомендує ортодонтичне лікування — і це не випадково.
Далее