Ортодонтичне лікування при відсутності зубів

Відсутність одного або кількох зубів не є перешкодою для ортодонтичного лікування. Навпаки, у багатьох випадках саме вирівнювання зубів є важливим етапом підготовки до протезування або імплантації. Сучасна ортодонтія дозволяє працювати навіть зі складними клінічними ситуаціями, забезпечуючи функціональний і естетичний результат.

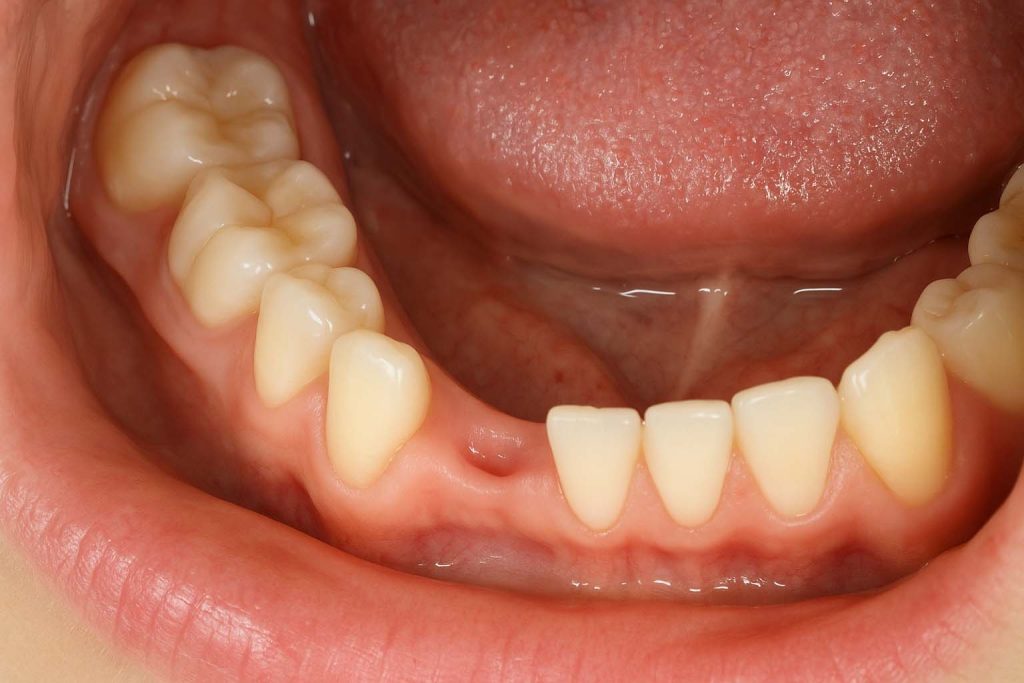
Коли зуб відсутній тривалий час, сусідні зуби можуть зміщуватися в бік дефекту, нахилятися або повертатися. Це призводить до порушення прикусу, появи проміжків і ускладнює подальше відновлення зубного ряду. Ортодонтичне лікування в таких випадках допомагає повернути зуби у правильне положення та створити достатньо місця для майбутнього імпланта чи протезу.

Для лікування можуть використовуватися як брекет-системи, так і елайнери. За потреби ортодонт застосовує додаткові елементи — мікроімпланти, пружини або спеціальні дуги, які дозволяють точно контролювати рух зубів поруч із зоною відсутності. У деяких ситуаціях, навпаки, проміжок закривають шляхом переміщення власних зубів, якщо це доцільно з функціональної точки зору.

Важливою умовою є комплексний підхід. Ортодонт зазвичай працює разом із ортопедом або хірургом-імплантологом, щоб заздалегідь спланувати фінальний результат. Це дозволяє уникнути помилок і скоротити загальний термін лікування.

Таким чином, відсутність зубів не обмежує можливості ортодонтичної корекції. Правильне планування та міждисциплінарна співпраця допомагають відновити гармонійний прикус і підготувати основу для повноцінної усмішки.